歯の色が気になる、つめもの、かぶせものを自然な歯の色にしたい、少しだけ出ている前歯をすっきり見せたい・・など、むし歯・歯周病・歯並びに関してお悩みの方のために、審美歯科を行っています。患者さまのご要望を聞きながら、最適な治療をご提案させていただきます。プライバシーにも配慮していますので、安心してご相談ください。
セラミック

生体親和性の高い新セラミック
金属アレルギーの心配がない、生体親和性の高い新セラミックは、変色や摩耗といった心配も不要で、安心・安全・身体にやさしい素材です。

より天然歯に近づいた審美的質感
さまざまな歯の色に対応し、隣接歯に良く馴染む新セラミックブロックは審美性に大変優れ、咬み心地や舌触りなど質感も天然歯に近い自然な感触です。

コンピュータによる精度の高い修復物
先進のコンピュータシステムにより、従来の手作業に比べ、大幅に時間短縮を実現。常に安定した高品質、高精度の修復物を提供することが可能になりました。
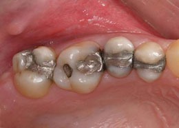
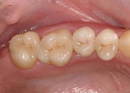
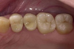
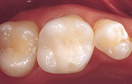
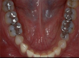
症例
セラミック治療の症例をご紹介いたします。










CEREC治療
※画像をクリックすると拡大表示されます。